Accessible Version
Dental Park

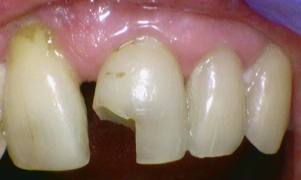
That Halloween Night

Accidents happen, especially during the most spooky night of the year—Halloween!

This patient fell during trick-or-treating and broke his front tooth. He was worried about his tooth and devastated that he would miss the whole night.

Ten minutes later, he was dancing and back to trick-or-treating again!

Emergency Dentist in Hyde Park, Dedham

If you experience a dental emergency, contact your emergency dentist in Hyde Park. Our cosmetic dentists can restore your broken tooth to its original condition.

Related Services:

Cosmetic Dentistry
Ready to book an appointment?
If you have difficulty using our website, please email us or call us at (781) 326-6260
View the ADA Accessibility Statement