Modern dentistry continuously evolves and has come a long way to rejuvenate and restore our teeth. Dental implants in Dedham are today's preferred method for replacing failing or missing teeth.
Often, patients correlate "dental implant" with major surgery, pain, and a high cost. These things were true a few years ago, but not anymore.
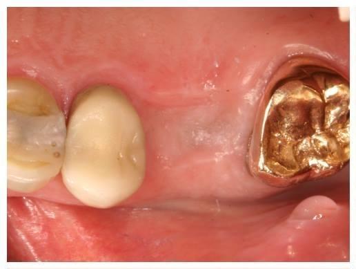
We placed dental implants for these two patients using flapless surgery, which involved no gum cutting, resulting in a painless procedure that was also budget-friendly. Check out our accepted dental insurances and available financing options.
Learn More About Dental Implants in Dedham
If tooth replacement is something you’re considering, we would love to help you! Contact Dental Park today at (781) 326-6260 to schedule an evaluation with one of our dentists.